загрузка...
Блоги
Дзебак Владимир Дзебак Владимир РОЗДУМИ ПРО НАДВАЖЛИВЕ або ЧОМУ НАШІ ОЛІГАРХИ СТАЛИ МОГИЛЬЩИКАМИ НИНІШНЬОЇ УКРАЇНИ

Головним інструментом нинішніх олігархів є безправний люмпен, який живе на подачках від держави, на грані фізичного виживання. Ось чому значна частина пенсіонерів є найкращим їх електоратом, який і допомагає часто приводити до влади їх ставлеників. Для малого і середнього бізнесу сьогодні закриті економічні ліфти у цілих галузях економіки, бо з кожним роком сфери зацікавленості олігархії збільшуються, перекриваючи кисень усім іншим.

Все блоги
Колонка автора
Все колонки авторов
Петиции ВАП
ВИМАГАЄМО ІНДЕКСАЦІЇ НАШИХ ПЕНСІЙ!!!
2 Подробности Подать заявку
Опрос
Сколько лет трудового стажа Вы имеете?

Крошечные частицы сделают инфаркт неопасным

Увеличить шрифт Уменьшить шрифт
Отправить
Печатать

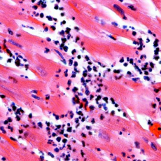
Инфарктные поражения сердца приводят к серьезным повреждениям тканей сердца. Но, оказывается, еще больший вред сам себе наносит организм, когда провоцирует сильный воспалительный процесс в пораженном участке после перенесенного инфаркта. Клетки иммунитета как будто «звереют» и получается, что воспаление не приносит особой пользы, а только разрушающе действует накардиомиоциты и не дает нормально проходить восстановительному периоду. Ученые придумали, как усмирить клетки иммунитета и не позволить воспалению ударить по сердцу на полную мощность.

Моноциты — клетки иммунной системы, которые направляются на защиту сердца в гигантских количествах и имеют положительный заряд. Ученые из США поняли, что если ввести в кровь отрицательно заряженные частицы, которые вступили бы в связь с моноцитами, то можно было бы нейтрализовать их. В роли нейтрализатора моноцитов был выбран сополимер молочной и гликолевой кислоты. Он является биосовместимым с тканями человека и не провоцирует аллергических или иммунологических реакций. К тому же полимер естественно разлагается ферментами организма и не наносит ему вреда.

При введении в кровь полимерные частицы доносятся до сердца, связываются с моноцитами. Из-за нейтрализации заряда на его поверхности моноцит гибнет. Процесс разложения такого нейтрализованного моноцита проходит в селезенке, а не в сердце. Это позитивный момент, ведь все проходит естественно, как будто клетка умерла естественной смертью и утилизируется в специально отведенном для этого органе.

Результат введения полимера людям после инфаркта показал, что интенсивность воспалительного процесса в сердце уменьшилась вдвое. Ученые подчеркивают, что микрочастицы полимера могут действовать на любой патологический процесс со слишком активной иммунной системой. К примеру, применение их может стать перспективным при рассеянном склерозе, колите и при определенных видах аллергии. Статья о данном уникальном и полезном исследовании обнародована в Science Translational Medicine.

К списку новостей