загрузка...
Блоги
Дзебак Владимир Дзебак Владимир РОЗДУМИ ПРО НАДВАЖЛИВЕ або ЧОМУ НАШІ ОЛІГАРХИ СТАЛИ МОГИЛЬЩИКАМИ НИНІШНЬОЇ УКРАЇНИ

Головним інструментом нинішніх олігархів є безправний люмпен, який живе на подачках від держави, на грані фізичного виживання. Ось чому значна частина пенсіонерів є найкращим їх електоратом, який і допомагає часто приводити до влади їх ставлеників. Для малого і середнього бізнесу сьогодні закриті економічні ліфти у цілих галузях економіки, бо з кожним роком сфери зацікавленості олігархії збільшуються, перекриваючи кисень усім іншим.

Все блоги
Колонка автора
Все колонки авторов
Петиции ВАП
ВИМАГАЄМО ІНДЕКСАЦІЇ НАШИХ ПЕНСІЙ!!!
2 Подробности Подать заявку
Опрос
Сколько лет трудового стажа Вы имеете?

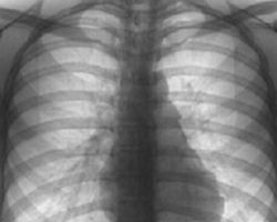
О чем рассказывают результаты флюорографии. Чего стоит бояться?

Увеличить шрифт Уменьшить шрифт
Отправить
Печатать

Ни одно инфекционное заболевание не уносит столько жизней украинцев, как туберкулез. Свиной грипп, дифтерия и столбняк, вместе взятые не сравнятся с масштабами эпидемии туберкулеза. Каждый день в нашей стране туберкулез уносит около 25 жизней. И, несмотря на то, что эта проблема «государственная» особых изменений в лучшую сторону не наблюдается. Единственным заметным участием государства в решении проблемы туберкулеза является внедрение плановой флюорографии. И, несмотря на скромные возможности флюорографии, она, бесспорно, способствует выявлению новых случаев заболевания.

Туберкулез сегодня перестал быть болезнью бедных и голодных. Да, у него действительно есть социальные признаки, и риск заболеть выше у тех, кто живет бедно, но часто достаточно перенести болезнь на ногах, пережить легкий стресс, чрезмерно увлечься похуданием, - в результате имеем организм, «прекрасно подготовленный» для инфицирования туберкулезом. Сегодня среди пациентов фтизиатра, кроме бывших заключенных и бездомных, успешные бизнесмены и политики, артисты и представители «золотой молодежи». Поэтому, надеяться на свое социальное положение не стоит, лучше подумать о профилактике, в данном случае ежегодной флюорографии.

Получив заключение рентгенолога, мы часто остаемся один на один с загадочными надписями в медицинской карте. И даже если нам повезло и удается прочесть отдельные слова, то понять их значение удается далеко не всем. Для того чтобы помочь разобраться и не паниковать без причины мы написали эту статью.

Флюорография. Из общих знаний

В основе флюорографии лежит использование рентгеновского излучения, которое, пройдя через ткани человека, фиксируется на пленке. По сути, флюорография - это максимально удешевленное рентгенологическое исследование органов грудной клетки, целью которого является массовое обследование и обнаружение патологии. В приказе МОЗ Украины есть фраза - «обнаружение на ранних стадиях». Но, к сожалению, весьма сомнительной является возможность ранней диагностики любого заболевания на снимке размером 7х7 см, пусть даже увеличенном на флюороскопе. Да, метод далек от совершенства и довольно часто дает погрешности, но на сегодняшний день остается незаменимым.

Флюорография в нашей стране проводится ежегодно с 16-летнего возраста.

Результаты флюорографии

Изменения на флюорограмме, как и на любом рентген-снимке, преимущественно вызваны изменениями плотности органов грудной клетки. Только в том случае, когда имеется определенная разница между плотностью структур, рентгенолог сможет увидеть эти изменения. Чаще всего рентгенологические изменения вызваны развитием соединительной ткани в легких. В зависимости от формы и локализации, такие изменения могут быть описаны как склероз, фиброз, тяжистость, лучистость, рубцовые изменения, тени, спайки, наслоения. Все они являются видимыми благодаря повышению содержания соединительной ткани.

Обладая значительной прочностью, соединительная ткань позволяет предохранять от чрезмерных растяжений бронхи при астме или сосуды при гипертонической болезни. В этих случаях на снимке будет видно утолщение стенок бронхов либо сосудов.

Довольно характерный вид на снимке имеют полости в легких, особенно содержащие жидкости. На снимке можно увидеть округлые тени с уровнем жидкости, зависящим от положения тела (абсцесс, киста, каверна). Довольно часто жидкость обнаруживается в плевральной полости и синусах плевры.

Очень выражена разница в плотности при наличии локальных уплотнений в легких: абсцесс, эмфизематозные расширения, киста, рак, инфильтраты, кальцинаты.

Но далеко не все патологические процессы происходят с изменениями плотности органов. Например, не всегда будет видна даже пневмония, и только достигнув определенной стадии заболевания, признаки станут видны на снимке. Таким образом, рентгенологические данные не всегда являются бесспорным основанием для постановки диагноза. Окончательное слово традиционно остается за лечащим врачом, который объединяя все полученные данные, может установить правильный диагноз.

С помощью флюорографии изменения можно увидеть в следующих случаях:

  • поздние стадии воспаления
  • склероз и фиброз
  • опухоли
  • патологические полости (каверна, абсцесс, киста)
  • инородные тела
  • наличие жидкости или воздуха в анатомических пространствах.

Самые распространенные заключения по результатам флюорографии

Прежде всего, стоит сказать, что, если получив печать о пройденной флюорографии, Вас с миром отпустили домой, то ничего подозрительного врач не обнаружил. Так как, согласно вышеупомянутого приказа МОЗ Украины, работник кабинета флюорографии должен оповестить Вас или участкового врача о необходимости дообследования. В случае каких-либо сомнений, врач дает направление на обзорную рентгенографию или в противотуберкулезный диспансер для уточнения диагноза. Перейдем непосредственно к заключениям.

Корни уплотнены, расширеныТо, что называется корнями легких, на самом деле является совокупностью структур, которые располагаются, в, так называемых, воротах легких. Корень легкого формируют главный бронх, легочные артерия и вена, бронхиальные артерии, лимфатические сосуды и узлы.

Уплотнение и расширение корней легких чаще всего встречаются одновременно. Изолированное уплотнение (без расширения) чаще свидетельствует о хроническом процессе, когда в структурах корней легких повышено содержание соединительной ткани.

Корни могут быть уплотнены и расширены за счет отека крупных сосудов и бронхов, либо за счет увеличения лимфоузлов. Эти процессы могут происходить как одновременно, так и изолированно и могут наблюдаться при пневмониях и острых бронхитах. Данный признак описывают и при более грозных заболеваниях, но тогда имеются другие типичные признаки (очаги, полости распада и прочие). В этих случаях уплотнение корней легких происходит преимущественно за счет увеличения локальных групп лимфоузлов. При этом даже на обзорном снимке (1:1) не всегда удается отличить лимфоузлы от других структур, не говоря о флюорограмме.

Таким образом, если в нашем заключении написано «корни расширены, уплотнены» и при этом мы практически здоровы, то вероятнее всего это свидетельствует о бронхите, воспалении легких и т.п. Однако этот признак является довольно стойким у курильщиков, когда наблюдается значительное утолщение стенки бронхов и уплотнение лимфоузлов, постоянно подвергающихся воздействию частиц дыма. Именно лимфоузлы берут на себя значительную часть функции очищения. При этом курильщик не отмечает никаких жалоб.

Корни тяжистыЕще одним довольно частым термином в рентгенологических заключениях является тяжистость корней легких. Данный рентгенологический признак может выявляться при наличии как острого, так и хронического процесса в легких. Чаще всего тяжистость корней легких либо тяжистость легочного рисунка наблюдается при хронических бронхитах, особенно при бронхите курильщика. Также, этот признак в совокупности с другими может наблюдаться при профессиональных заболеваниях легких, бронхоэктатической болезни, при онкологических заболеваниях.

Если в описании флюорограммы кроме тяжистости корней легких ничего нет, то можно вполне уверенно сказать, что никаких подозрений у врача нет. Но не исключено, что имеет место другой хронический процесс. К примеру, хронический бронхит или обструктивная болезнь легких. Этот признак наряду с уплотнением и расширением корней также типичен для хронического бронхита курильщиков.

Поэтому при наличии каких-либо жалоб со стороны органов дыхания не будет лишним обратиться к терапевту. Факт, что некоторые хронические заболевания позволяют вести нормальный образ жизни, не значит, что их следует игнорировать. Именно хронические заболевания, чаще являются причиной пусть не скоропостижной, но весьма прогнозированной смерти человека.

Усиление легочного (сосудистого) рисункаЛегочный рисунок - нормальный компонент флюорографии. Он образован в большей мере тенями сосудов: артерий и вен легких. Именно поэтому некоторые используют термин сосудистый (а не легочный) рисунок. Чаще всего на флюорограмме наблюдается усиление легочного рисунка. Это происходит за счет более интенсивного кровоснабжения участка легкого. Усиление легочного рисунка наблюдается при остром воспалении любого происхождения, так как воспаление может наблюдаться как при банальном бронхите, так и при пневмоните (стадия рака), когда заболевание еще не имеет никаких характерных признаков. Именно поэтому при пневмониях, очень похожих на пневмонит при раке, обязателен повторный снимок. Это не только контроль лечения, но и исключение онкологического заболевания.

Кроме банального воспаления, усиление легочного рисунка наблюдается при врожденных пороках сердца с обогащением малого круга, сердечной недостаточности, митральном стенозе. Но вряд ли эти заболевания могут быть случайной находкой при отсутствии симптомов. Таким образом, усиление легочного рисунка является неспецифическим признаком, и в случаях ОРВИ, бронхита, пневмоний, особого беспокойства вызывать не должно. Усиление легочного рисунка при воспалительных заболеваниях, как правило, исчезает в течение нескольких недель после перенесенного заболевания.

Фиброз, фиброзная тканьПризнаки фиброза и фиброзной ткани на снимке говорят о перенесенном заболевании легких. Часто это может быть проникающая травма, оперативное вмешательство, острый инфекционный процесс (пневмония, туберкулез). Фиброзная ткань является разновидностью соединительной и служит замещением свободного пространства в организме. Таким образом, в легких фиброз является больше положительным явлением, хотя и свидетельствует об утраченном участке легочной ткани.

Очаговая тень (очаги)Очаговые тени, или же очаги - это разновидность затемнений легочного поля. Очаговые тени являются довольно распространенным симптомом. По свойствам очагов, их локализации, сочетании с другими рентгенологическими признаками удается с определенной точностью установить диагноз. Иногда только рентгенологический метод может дать окончательный ответ в пользу того или иного заболевания.

Очаговыми тенями называют тени размерами до 1 см. Расположение таких теней средних и нижних отделах легких чаще всего говорит о наличии очаговой пневмонии. Если такие тени обнаружены и в заключении добавлено «усиление легочного рисунка», «слияние теней» и «неровные края» - это верный признак активного воспалительного процесса. Если же очаги плотные и более ровные - происходит затихание воспаления.

Если очаговые тени обнаружены в верхних отделах легких, то это более типично для туберкулеза, поэтому такое заключение всегда значит, что Вам стоит обратиться к врачу для уточнения состояния.

КальцинатыКальцинаты - тени округлой формы, по плотности сравнимые с костной тканью. Часто за кальцинат может быть принята костная мозоль ребра, но какова бы ни была природа образования, особого значения ни для врача, ни для пациента оно не имеет. Дело в том, что наш организм при нормальном иммунитете способен не только бороться с инфекцией, но и «изолироваться» от нее, и кальцинаты являются этому доказательством.

Чаще всего кальцинаты образуются в месте воспалительного процесса, вызванного микобактерией туберкулеза. Таким образом, бактерия оказывается «похоронена» под слоями солей кальция. Подобным образом может быть изолирован очаг при пневмонии, глистной инвазии, при попадании инородного тела. Если кальцинатов множество, то вероятно, что у человека был довольно близкий контакт с больным туберкулезом, но заболевание не развилось. Итак, наличие кальцинатов в легких не должно вызвать опасений.

Спайки, плевроапикальные наслоенияГоворя о спайках, имеется ввиду состояние плевры - оболочки легких. Спайки являются соединительнотканными структурами, возникшими после воспаления. Спайки возникают с той же целью, что и кальцинаты (изолировать участок воспаления от здоровых тканей). Как правило, наличие спаек не требует никакого вмешательства и лечения. Лишь в некоторых случаях при спаечном процессе наблюдаются болевые ощущения, тогда, безусловно, стоит обратиться за медицинской помощью.

Плевроапикальные наслоения - это утолщения плевры верхушек легких, что свидетельствует о перенесенном воспалительном процессе (чаще туберкулезной инфекции) в плевре. И если врача ничего не насторожило, то повода для беспокойства нет.

Синус свободен или запаянСинусы плевры - это полости, образованные складками плевры. Как правило, в полноценном описании снимка, указывается и состояние синусов. В норме - они свободны. При некоторых состояниях может наблюдаться выпот (скопление жидкости в синусах), его наличие однозначно требует внимания. Если же в описании указано, что синус запаян, то речь идет о наличии спаек, о них мы говорили выше. Чаще всего запаянный синус - следствие перенесенного плеврита, травмы и т.п. При отсутствии других симптомов, состояние не вызывает опасения.

Изменения со стороны диафрагмыЕще одной часто встречающейся флюорографической находкой является аномалия диафрагмы (релаксация купола, высокое стояние купола, уплощение купола диафрагмы и т.д.). Причин для возникновения такого изменения множество. К ним относятся наследственная особенность строения диафрагмы, ожирение, деформация диафрагмы плевро-диафрагмальными спайками, перенесенное воспаление плевры (плеврит), заболевания печени, заболевания желудка и пищевода, в том числе диафрагмальная грыжа (если изменен левый купол диафрагмы), заболевания кишечника и других органов брюшной полости, болезни легких (в том числе рак легких). Интерпретация этого признака может проводиться только в совокупности с другими изменениями на флюорограмме и с результатами других методов клинического обследования больного. Поставить диагноз только на основании наличия изменений со стороны диафрагмы, выявленных при флюорографии, невозможно.

Тень средостения расширена/смещенаОсобое внимание обращается на тень средостения. Средостение - это пространство между легкими. К органам средостения относится сердце, аорта, трахея, пищевод, вилочковая железа, лимфатические узлы и сосуды. Расширение тени средостения, как правило, происходит за счет увеличения сердца. Это расширение чаще всего бывает односторонним, что определяется увеличением левых или правых отделов сердца.

Важно помнить, что по данным флюорографии, никогда не стоит серьезно оценивать состояние сердца. Положение сердца в норме может значительно колебаться, в зависимости от телосложения человека. Поэтому то, что кажется смещением сердца влево на флюорографии, может быть нормой для невысокого полного человека. И наоборот, вертикальное или даже «каплевидное» сердце - возможный вариант нормы для высокого худого человека.

При наличии гипертонической болезни, в большинстве случаев, в описании флюорограммы будет звучать «расширение средостения влево», «расширение сердца влево» или просто «расширение». Реже наблюдается равномерное расширение средостения, это указывает на возможное присутствие миокардита, сердечной недостаточности или других заболеваний. Но стоит подчеркнуть, что существенного диагностического значения для кардиологов данные заключения не имеют.

Смещение средостения на флюорограмме наблюдается при увеличении давления с одной стороны. Чаще всего это наблюдается при асимметричном скоплении жидкости или воздуха в плевральной полости, при крупных новообразованиях в ткани легких. Такое состояние требуют максимально быстрой коррекции, так как сердце очень чувствительно к грубым смещениям, то есть в данном случае необходимо срочное обращение к специалисту.

Заключение

Несмотря на достаточно высокую степень погрешности флюорографии, нельзя не признать эффективность этого метода в диагностике туберкулеза и рака легких. И как бы нас не раздражали порой необъяснимые требования прохождения флюорографии на работе, в институте или где-либо, отказываться от нее не стоит. Часто, только благодаря массовой флюорографии, удается выявлять новые случаи туберкулеза, тем более что обследование проводится бесплатно.

Особую актуальность флюорография имеет у нас в Украине, где с 1995 года объявлена эпидемия туберкулеза. В таких неблагоприятных эпидемиологических условиях все мы находимся в группе риска, но, в первую очередь, это люди с иммунодефицитами, хроническими заболеваниями легких, курильщики, и, к сожалению, дети. Кроме того, занимая лидирующие мировые позиции по табакокурению, мы довольно редко соотносим этот факт с туберкулезом, а зря. Курение, несомненно, вносит свой вклад в поддержку и развитие эпидемии туберкулеза, ослабляя, в первую очередь, дыхательную систему нашего организма.

Подводя итоги, хотим еще раз заострить Ваше внимание, что ежегодная флюорография может оградить Вас от смертельно-опасных болезней. Так как вовремя обнаруженный туберкулез и рак легких - порой единственный шанс на выживание при этих заболеваниях. Берегите здоровье!

Ярощук Лариса Борисовна, врач аллерголог, пульмонолог, старший научный сотрудник, к.м.н.

К списку новостей