загрузка...
Блоги
Дзебак Владимир Дзебак Владимир РОЗДУМИ ПРО НАДВАЖЛИВЕ або ЧОМУ НАШІ ОЛІГАРХИ СТАЛИ МОГИЛЬЩИКАМИ НИНІШНЬОЇ УКРАЇНИ

Головним інструментом нинішніх олігархів є безправний люмпен, який живе на подачках від держави, на грані фізичного виживання. Ось чому значна частина пенсіонерів є найкращим їх електоратом, який і допомагає часто приводити до влади їх ставлеників. Для малого і середнього бізнесу сьогодні закриті економічні ліфти у цілих галузях економіки, бо з кожним роком сфери зацікавленості олігархії збільшуються, перекриваючи кисень усім іншим.

Все блоги
Колонка автора
Все колонки авторов
Петиции ВАП
ВИМАГАЄМО ІНДЕКСАЦІЇ НАШИХ ПЕНСІЙ!!!
2 Подробности Подать заявку
Опрос
Сколько лет трудового стажа Вы имеете?

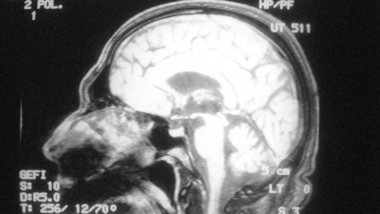
В мозге людей нашли магнитные шарики

Увеличить шрифт Уменьшить шрифт
Отправить
Печатать

Исследователи из Ланкастерского университета в Великобритании обнаружили микроскопические магнитные частицы в мозге людей. Ученые считают, что они попали в нервные ткани из загрязненного воздуха и могут быть возможной причиной болезни Альцгеймера. Результаты исследования опубликованы в журнале Proceedings of the National Academy of Sciences.

Многочисленные наночастицы магнетита были найдены у 37 человек, которые жили в Мехико (Мексика) и Манчестере (Великобритания). Этот широко распространенный минерал является токсичным и приводит к возникновению в клетках активных форм кислорода (свободных радикалов).

Ученые с помощью спектроскопического 

Источник:
К списку новостей