Поєднання двох нових лікарських засобів зменшує розміри пухлин у майже 60% пацієнтів на пізній стадії розвитку меланоми. Про це заявили в доповіді британські медики на засіданні Американського товариства клінічної онкології.
Міжнародні клінічні випробування на 945 пацієнтах виявили, що препаратиіпілімумаб (ipilimumab) і ніволумаб (nivolumab) викликали припинення росту ракових пухлин у 58% випадків терміном до року.
Меланома, найсерйозніша форма раку шкіри, є шостим за поширеністю видом раку в Британії; від меланоми в країні щорічно помирає понад 2 тисяч осіб.
Два краще за одного
Обидва препарати засновані на принципі стимулювання імунної системи людини. Ця система є потужним бар'єром на шляху інфекцій в організм. Однак вона ж містить і безліч природних обмежувачів, які запобігають автоімунній реакції, коли організм починає відкидати власні тканини.
Різні форми ракових клітин мають властивість використовувати ці обмежувачі для подолання опору імунної системи.
Препарат іпілімумаб, який був схвалений для лікування просунутих форм меланоми в Британії минулого року, а також його варіант ніволумаб, відключають дію таких природних обмежувачів імунної системи.
Міжнародні клінічні випробування на 945 пацієнтах виявили, що застосування обох препаратів одночасно приводить до скорочення пухлин приблизно на третину в 58% випадків, причому період скорочення розмірів пухлини або зупинки її зростання становив у середньому 11,5 місяців.
Застосування одного препарату іпілумубаба, згідно з даними, опублікованими в журналі New England Journal of Medicine, призводило до скорочення пухлин тільки в 19% випадків на період 2,5 місяця.
Доктор Джеймс Ларкін, консультант лондонської лікарні "Роял Марсден", розповів ВВС, що поєднання цих двох препаратів призводить до нейтралізації двох інгібіторів імунної системи, що дозволяє їй упізнавати пухлини, яких раніше вона не помічала, й активно нападати на ракові клітини.
"У сфері імунотерапії ми ніколи раніше не спостерігали такого значного скорочення пухлин у такого великого числа пацієнтів, тому це дуже важливий для нас результат, - пояснив учений. - Ідеться про метод лікування, який у майбутньому стане провідним у боротьбі з раком".

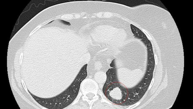
Томограма показує пухлину (обведену червоним) до лікування

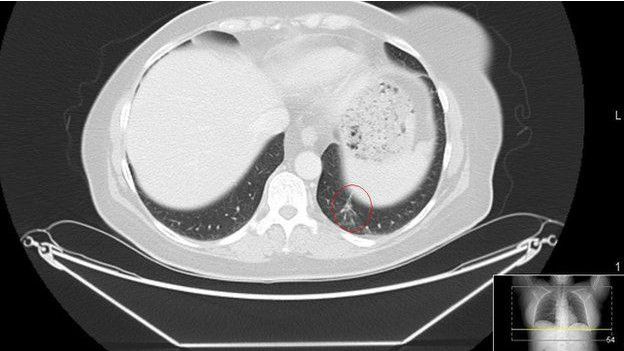
Томограф показав, що після імунотерапії розміри пухлини сильно зменшилися
На конференції онкологів у Чикаго перші результати клінічних випробувань нових препаратів привернули загальну увагу. Однак поки залишається невідомим, на скільки нові ліки продовжують життя ракових хворих.
Нове покоління ліків
Їхнє застосування супроводжується серйозними побічними симптомами - втомою, висипом і проносом. У більш ніж половини пацієнтів, що брали участь у клінічних випробуваннях обох ліків одночасно, відзначалися ці побічні симптоми в порівнянні з чвертю пацієнтів, яким давався один іпілімубаб.
Залишається також незрозумілим, чому деякі пацієнти реагували виключно позитивно на лікування, а інші не проявляли взагалі ніякої реакції.
Доктор Алан Уорслі з благодійного фонду Cancer Research UK вважає, що метод комбінованого застосування різних імунотерапевтичних препаратів може виявитися потужним знаряддям у руках онкологів.
"Коли ми навчимося розпізнавати пацієнтів, що найбільш позитивно реагують на таку терапію, ми отримаємо ефективний спосіб впливу на меланому", - сказав він.
Іпілімубаб вводиться внутрішньовенно кожні три місяці і коштує близько 100 тисяч фунтів (більше 150 тисяч доларів) на рік. Ніволумаб вводиться кожні два тижні до припинення його дії.
Обидва препарати були створені фармакологічною компанією Bristol-Myers Squibb.
Багато таких компаній зараз розробляють і випробовують подібні імунотерапевтичні препарати. Наприклад, пембролізумаб, створений компанією Merck, є ще одним лідером у цій галузі.
Вчені сподіваються, що нове покоління імунотерапевтичних засобів виявиться ефективним методом лікування широкого кола ракових пухлин.