Виростити нові зуби: процедура, яка можлива в будь-якому віці! Про свій унікальний винахід розповів Колумбійський професор.
Професор Джеремі Мао (Jeremy Mao) з Колумбійського університету розробив і запропонував нову технологію, за якою у будь-якому віці можна вирощувати нові зуби у роті пацієнта. Для цього мають намір використовувати власні стовбурові клітини пацієнтів стоматології - але минаючи складний етап їх виділення і культивування.
Тепер вже можна забути про неприємні процедури в стоматкабінеті, пов'язані з бормашинами, імплантати, зубними протезами тощо. Не потрібно багато разів відвідувати кабінет лікаря, аби приміряти, вставляти та коригувати штучні зуби. Уникнути неприємних процедур, що супроводжуються болем та дискомфортом, допоможе винахід професора Мао.

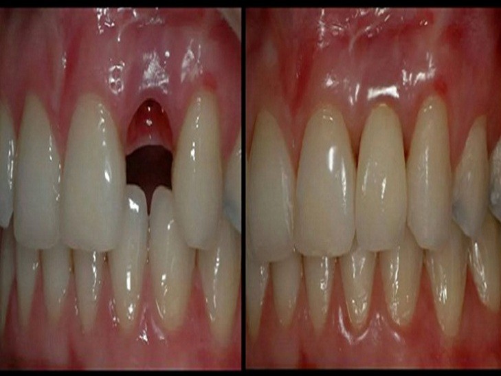
Лікар зробив революцію у світі стоматології - винайшов технологію вирощування зубів прямо в порожній альвеолі.
З полімеру і гідроксиапатиту (кальцієвмісного мінералу) він зробив каркас, який по формі був схожим на реальний зуб. На цю основу закріплювалися молекули чинників зростання SDF1 і білків BMP7, які слугують сигналом, що привертає сюди стовбурові клітини прямо з організму. У порожню альвеолу тварини, яка була обрана для дослідження, він вставив цей зачаток. Пориста структура каркасу дозволила стволовим клітинам організму тварини мігрувати у цю конструкцію.

Нові зуби виростали у середньому за 9 тижнів. Вони приживалися добре, а периодонтальні зв'язки адаптовувались.
Залишається чекати застосування такої технології в наших клініках.