Затяжний кашель, задишка, біль у грудях, підвищення температури вечорами, лихоманка і т.д. При таких симптомах лікар відправляє пацієнта пройти рентген легенів. Процедура виконується швидко, і вже через кілька хвилин дослідження дозволить поставити точний діагноз, який допоможе призначити найбільш ефективне лікування. Хочемо відразу відзначити, що рентген робиться в екстрених випадках і відрізняється від планової флюорографії.
З якою метою призначається променеве дослідження
Ви прийшли до дільничного лікаря, тому що у Вас слабкість і кашель або інші ознаки поганого самопочуття. Аналіз крові показує, що РОЕ підвищено, тобто в організмі йде запальний процес. Прослухавши Вас фонендоскопом, лікар приходить до висновку, що в легенях щось не так. А ось що саме, з`ясує рентген. І Ви негайно йдете до відповідного кабінету за точним діагнозом.
Рентген легенів призначається при бронхіті, пневмонії, туберкульозі, плевриті, емфіземи і злоякісних пухлинах.
Що стосується діток, то поспішаємо заспокоїти батьків - рентген легенів дитині можна проводити з будь-якого віку. Захисні фартухи дозволяють захистити від опромінення органи, які не задіяні при рентгені. Доза променевого впливу абсолютно безпечна для разової процедури. І гостра необхідність поставити правильний діагноз у найкоротші терміни переважає необгрунтовані батьківські страхи. Тому, щоб виключити зі списку можливих захворювань небезпечні процеси, які швидко розвиваються (наприклад, гостра форма пневмонії), без вагань проходите рентген легенів.
Що побачив професіонал

Опис рентгенограми вимагає підвищеної уваги і значного досвіду. Після того, як Ви зробили знімок, настає наступний етап - розшифровка рентгену легенів. Звичайній людині, як правило, абсолютно незрозуміла наочна різниця пневмонії від бронхіту і зміни, зафіксовані при туберкульозі.
Зробити кваліфікований опис фахівець може на підставі наступних ознак:
- Затемнення великими вогнищами відзначається при пухлинах бронхів, великій пневмонії.
- Затемнення вогнищами дрібними - при туберкульозі і пневмонії осередковій.
- Зміна малюнка в легенях - бронхіт.
- Наявність рідини - ознака пухлинного процесу і плевриту.
- Затемнення у вигляді легкої тіні - при пухлинних процесах і туберкульозі.
- Просвітлення спостерігається при емфіземі легенів.

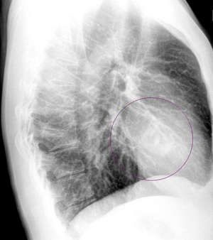
І на підставі даних рентгенограми лікар робить призначення, показане для лікування певної хвороби. У деяких спірних випадках необхідно зробити повторний рентген або іншу його проекцію, наприклад, бічну, як на фото. Це, однак, не повинно приводити Вас у стан паніки. Швидше за все, лікар просто хоче перестрахуватися, а, значить, проявляє увагу до Вашого здоров`я.
Повторимо ще раз - рентген легенів має мінімальну дозу опромінення і ніякої шкоди принести навіть теоретично не може. А ось прогресуючу хворобу зупинити потрібно необхідно. Не перешкоджайте цьому.
Щорічна профілактика

Як зазначалося вище, рентген відрізняється від флюорографії. Остання, проте, виконує ті ж функції - виявляє затемнення і просвітлення на знімках при пневмонії, туберкульозі, пухлинах та ін. Існує, однак, різниця між обома видами променевого дослідження.
Головна відмінність полягає в тому, що флюорографія легень робиться щорічно з метою профілактики населення, тобто цю процедуру повинні проходити всі без винятку.
І як би не обурювалися дорослі люди, але саме завдяки їй в медичній практиці зафіксовані випадки своєчасного виявлення першого ступеня раку легенів. Специфічне затемнення дозволяє медикам вчасно здійснити діагностику при і туберкульозі (початкові стадії).

Флюорографія іноді виявляла ознаки уповільненої пневмонії. Після чого пацієнтові призначався рентген для більш детального знімка легенів. І вже він дозволяв поставити правильний діагноз і не довести хворобу до незворотного стану.
До недоліків флюорографії можна віднести маленьку роздільну здатність в порівнянні з тією, яку дає рентген, на якому затемнення легенів має більш чітке зображення.
А перевагою є те, що флюорографія - обов`язкова процедура для всього дорослого (після 16 років) населення, а рентген робиться тільки для надання термінової допомоги хворим (в тому числі дітям будь-якого віку).
Способи діагностики
Розглянемо два варіанти розвитку подій:
- Ви захворіли. Лікар призначає Вам повне обстеження - аналіз крові і рентген легенів. Потім на підставі отриманих результатів виписує медикаменти, і незабаром Ви одужує.
- При проходженні щорічної флюорографії виявляється затемнення на легенях. При такому збігу обставин проводиться додаткова променева діагностика (рентген) і ставиться точний діагноз.
У будь-якому випадку Ви повинні бути повністю впевнені в безпеці процедур і їх об`єктивної необхідності. Не слухайте порад «доброзичливців », які стверджують, що такі процедури ведуть до негативних наслідків. Офіційна медична статистика подібну інформацію не підтверджує.